Implantes
Los dientes son órganos sin capacidad regenerativa, pudiendo llegar a perderse a causa de la caries, problemas de encías, golpes, etc.
La pérdida de un solo diente puede ocasionar graves consecuencias estéticas en caso de localizarse en la zona anterior. O bien, la pérdida de varios dientes posteriores (molares), puede desencadenar problemas digestivos, o de la articulación temporo-mandibular que se encarga de abrir y cerrar la boca.
Evidentemente usted, como paciente, desea remplazar la pérdida de sus dientes de la manera más discreta posible.
Una de las formas de conseguirlo son IMPLANTES DENTALES, mediante los que reemplazamos de forma natural los dientes perdidos, sin necesidad de dañar los dientes contiguos y de una manera estéticamente armoniosa y funcionalmente cómoda y eficaz.
¿ Qué es un Implante ?
Es un tornillo de titanio que va anclado en el hueso y sustituye la función de la raíz dental. Sobre ese tornillo se coloca una corona (funda) que reemplazará la función del diente perdido. Mediante los implantes se puede sustituir un sólo diente, varios o la dentadura completa, recuperando la función oral normal y saludable.
Ventajas
La materia de los dientes sanos se conserva, no siendo necesario tallar los dientes contiguos para hacer puentes.
Ajuste seguro, posibilidad de reemplazar los dientes a medida.
Larga vida en cuanto a su duración en la boca, con los cuidados y mantenimiento pertinentes.
Recuperación de la eficacia masticatoria.
Excelente estética, recuperando la expresión facial y fonética.
Sensación de recuperación de sus propios dientes.
Posibilidad de colocar los implantes de forma inmediata, en la misma sesión en la que se extraen los dientes que no sirven.
Evita la reabsorción ósea que se produce con el paso de los años.
Evitan al paciente la incomodidad de los desajustes y la movilidad de las prótesis convencionales de quitar y poner.
 
           
           
          Implantología Mínimamente Invasiva / Implantología sin Cirugía
En nuestra clínica damos especial importancia a la comodidad y bienestar del paciente durante y después de la cirugía.
Tradicionalmente, para colocar implantes se hacía un corte y se levantaba la encía para ver el hueso directamente, siendo una cirugía muy molesta y dolorosa para el paciente. Los días posteriores aparecían mucha inflamación y dolor, incluso infecciones.
En la clínica Osagest evitamos todo eso mediante la “cirugía mínimamente invasiva” siempre que sea posible. Consiste en colocar el implante a través de un agujerito en la encía. Evitamos hacer cortes y separar la encía para colocar los implantes.
Ventajas
Cirugía más sencilla.
No hay casi sangrado.
No hay que suturar.
Menor inflamación y dolor ya que el proceso es muy poco traumático.
Menor incidencia de infecciones porque no provocamos una herida en la boca.
 
         Dientes en un Día - Cirugía Guiada por Ordenador
Es una técnica revolucionaria dentro de la implantología mínimamente invasiva o sin bisturí. Permite la colocación de los implantes de una manera sencilla, rápida y segura, y por supuesto la máxima comodidad para el paciente. Con esta técnica eliminamos el dolor y la inflamación. Colocamos dientes sin cortes ni suturas.
Consiste en planificar la cirugía en 3D en el ordenador, para ello sólo necesitamos un escáner oral (TAC). Primero planeamos la posición exacta y el tamaño de los implantes en el ordenador.
Con esta información se fabrica una plantilla quirúrgica que guía la colocación de los implantes a través de unos agujeritos que hacemos en la encía.
 
         Ventajas
Dientes en 1 día, nos permite hacer extracciones y colocar los dientes el mismo día de la cirugía.
Hacemos una implantología mucho más segura y predecible.
Al planear la cirugía en el ordenador nos aseguramos de colocar los implantes exactamente donde queremos y sin invadir estructuras muy importantes (nervios, los senos, dientes adyacentes).
Cirugía más sencilla.
No hay casi sangrado.
No hay que suturar.
Menor inflamación y dolor ya que el proceso es muy poco traumático.
Ausencia de hematomas.
Menor incidencia de infecciones porque no provocamos una herida en la boca.
 
           
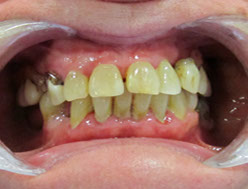
          Ejemplos de Implantes (caso 1)
7 - 7
 
             
             
             
             
             
             
             
             
             
             
             
             
             
            1-. La paciente llega en este estado.
Es portadora de una prótesis removible posterior y los dientes remanentes tienen “piorrea”.
2.- Hacemos la extracción de los dientes superiores.
3.- En la misma sesión colocamos los implantes utilizando la cirugía guiada.
4.- Implantes colocados. Fíjese en que no hay sangrado ya que no se abre la encía. Algunos implantes se han colocado aprovechando los huecos de los dientes originales.
5.- Prótesis provisional fija colocada. Lo llevará durante 6 meses, luego se cambiará por una más estética y mejor ajustada.
6.- Aspecto al día siguiente. Como se aprecia, no hay ningún signo de inflamación ni hematoma.
7.- Prótesis definitiva fija de cerámica colocada a los 6 meses.
<
>
Ejemplos de Implantes (caso 2)
4 - 4
 
             
             
             
             
             
             
             
            1.- Estado de la paciente antes de la cirugía. Portadora de prótesis removible superior posterior y los dientes remanentes están en muy mal estado periodontal.
2.- Colocación de los implantes sin bisturí.
3.- Prótesis provisional fija colocada. A los 6 meses la cambiaremos por una más estética y mejor ajustada.
4.- Paciente a los 2 días. No hay signos de inflamación ni hematoma.
<
>
? Qué hacemos cuando no hay hueso ¿ Implantes Cigomáticos
 ¿Qué hacemos cuando no hay hueso? Implantes Zigomáticos
¿Qué hacemos cuando no hay hueso? Implantes Zigomáticos
Cuando se pierden los dientes los huesos maxilares se van reabsorbiendo de manera gradual. Esto se debe a que su función es el de soportar los dientes, y al no haber dientes el cuerpo no necesita ese hueso y se reabsorbe. Esto suele ser más acentuado en mujeres menopáusicas, porque sufren una desmineralización ósea general.
Al perder los dientes la cara envejece mucho, porque se pierde el soporte labial y nos queda el típico perfil de “bruja”.
Debido a la reabsorción ósea, pacientes que llevan muchos años desdentados, empiezan a notar que cada vez se les mueve más la prótesis o no adapta como antes. Y muchas veces se compromete la colocación de implantes por esa falta de hueso.
Los casos de reabsorción ósea muy severa los solucionamos con implantes zigomáticos (utilizando la técnica extrasinusal, mucho menos traumática que la original). Consiste en el colocar implantes en el hueso zigomático (el pómulo) a través de la boca.
Conseguimos rehabilitar la boca casi en el 100 % de los casos aunque haya poco hueso, en tan sólo 1 día.
Ventajas
Evitamos tener que hacer injertos de cadera o de otra zona y lo que eso supone (2 zonas quirúrgicas, dolor en la zona donante, infecciones, esperar 12-24 meses para colocar los implantes, reabsorción del injerto…)
Evita las elevaciones de seno.
Colocamos los dientes en un día. No hay que esperar para que se regenere el hueso.
Es una técnica altamente predecible. Recientes estudios indican un 98% de tasas de éxito.
Con sólo 4 implantes podemos rehabilitar la arcada superior completa.
 
           
          Implantes Cigomáticos (caso 1)
1 - 2
 
             
             
             
            1.- Paciente de 50 años, lleva desdentada 25 años y es portadora de una prótesis removible completa en la parte superior. No tiene suficiente altura ni anchura ósea para la colocación de implantes convencionales.
3.- Prótesis fija provisional. A los 6 meses se colocará una prótesis definitiva más estética y mejor ajustada.
<
>
Mantenimiento
Mantenimiento
Al igual que se pierden los dientes naturales se pueden perder los implantes si no se cuidan adecuadamente. Por ello es muy importante la constancia en el mantenimiento:
Cumplir las indicaciones postoperatorias. Mantener un reposo relativo en los primeros meses después de la colocación es vital para el éxito del tratamiento, para conseguir una adecuada osteointegración de los implantes. Hay que llevar una dieta blanda durante el tiempo que estime necesario el dentista (normalmente 2 meses).
Correcta higiene bucal.
No fumar. El tabaco juega un papel perjudicial en la integración de los implantes en el hueso. Los fumadores tienen más posibilidades de fracaso en los tratamientos implantológicos.
Visitar al dentista por lo menos 1 vez al año.