Clínica Dental Osagest

Con toda Confianza

COVID 19

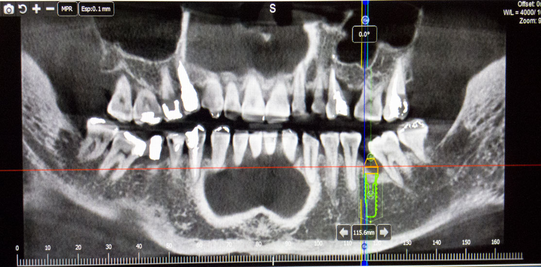
La clínica dental Osagest, en su continuo afán de mejorar la calidad de sus tratamientos e incorporando siempre las últimas novedades en tecnología de vanguardia, ha entrado de lleno en el proceso de digitalización tecnológica con la adquisición de un Scaner 3D de última generación.

 

Con este Scaner obtenemos imágenes tridimensionales de la región bucofacial, dientes, hueso maxilar y mandibular, zona sinusal, etc.,  permitiéndonos evaluar con gran precisión el estado del paciente que acude a nuestra consulta, realizando un diagnóstico preciso, que nos posibilita estructurar el mejor tratamiento en cada circunstancia, evitando falsas expectativas y la frustración que conlleva el fracaso de tratamientos inadecuados por su errónea planificación.

 

La información  aportada por la tecnología 3D nos permite la realización de técnicas innovadoras de regeneración ósea guiada con coágulo del propio paciente, en zonas de gran pérdida de hueso, produciendo resultados altamente predecibles que nos facilitan restaurar la función masticatoria y estética, que los tratamientos convencionales no consiguen.

 

Las imágenes obtenidas mediante tecnología 3D, nos aportan información fiable de la zona bucodental que requiere tratamiento quirúrgico o conservador, minimizando en gran medida las complicaciones que pueden producirse si no disponemos de ella.